
HM70
Sistema portátil de ultrasonido con flujo de trabajo optimizado, alta resolución de imagen, operación móvil y herramientas clínicas orientadas a uso diario en múltiples entornos asistenciales.
Financiamiento sin enganche
Accede a planes flexibles de 12 a 48 meses con KORUM CAPITAL, diseñados para que adquieras tu equipo sin afectar tu flujo de efectivo.
Atención personalizada
Te asesoramos en la elección, financiamiento y uso del equipo, con soporte directo de nuestros especialistas.
Garantía Medrent
Respaldamos tu inversión con 12 meses de garantía de fábrica y soporte técnico especializado.
Preguntas frecuentes
1. ¿Qué tipo de equipo es HM70?
Es un sistema portátil de ultrasonido de alto desempeño para diagnóstico clínico en distintos entornos de atención.
2. ¿En qué categoría del catálogo MedRent se clasifica?
En catálogo MedRent pertenece a Rehabilitación y a la subcategoría Ultrasonido diagnóstico / terapéutico.
3. ¿Qué lo hace práctico para operación diaria?
Su formato portátil, la autonomía extendida, el acceso rápido a presets y protocolos, y la posibilidad de trabajar con hasta tres transductores en carro opcional favorecen un flujo clínico más ágil.
4. ¿En qué entornos puede utilizarse?
Está planteado para hospitales, clínicas, consultorios, urgencias y otros entornos asistenciales donde se requiere diagnóstico móvil por ultrasonido.
FICHA TÉCNICA
Características de producto
Descargar ficha técnicaGenerales
| Marca: | Samsung Medison |
| Modelo: | HM70 EVO |
| Tipo de equipo: | Sistema portátil de ultrasonido diagnóstico de uso general. |
| País de origen: | Corea del Sur |
Funciones principales
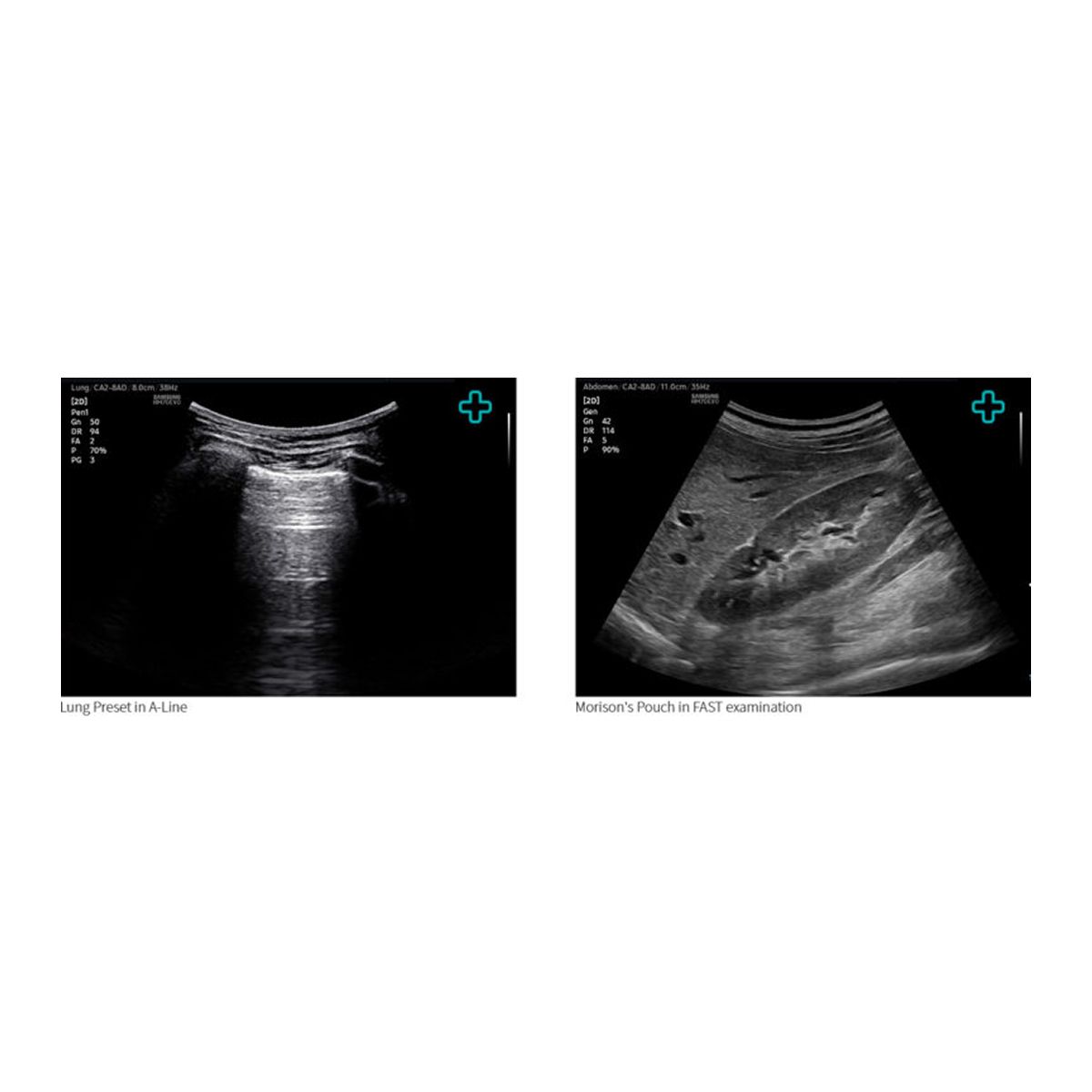
| Modalidades: | 2D, M, Color Doppler, Power Doppler, S-Flow, PW Doppler, CW Doppler, S-Harmonic, Tissue Doppler, Tissue Doppler Wave, imagen panorámica, Freehand 3D, 3D/4D, ElastoScan y modos combinados. |
| Software/Licencias: | QuickExam, QuickSave, EzAssist, QuickPreset, EzExam+, NeedleMate+, NerveTrack, Lung preset y FAST preset. |
Hardware
| Seguridad: | Visualización en tiempo real de índice mecánico y térmico; uso previsto bajo supervisión de personal sanitario capacitado; producto identificado como dispositivo médico. |
| Grado médico: | Sistema de ultrasonido diagnóstico para uso profesional. |
Especificaciones técnicas
Portabilidad clínica real
El sistema está diseñado para movilidad diaria, con formato portátil y operación enfocada en escenarios donde el equipo debe desplazarse con frecuencia.
Autonomía para jornada móvil
La batería extendida permite una operación aproximada de 7.5 horas, lo que amplía el rango de uso fuera de una estación fija.
Imagen de alta resolución
La plataforma incorpora procesamiento de imagen derivado de sistemas de gama alta para mantener claridad, uniformidad y penetración en 2D y color.
Flujo clínico acelerado
Integra funciones como QuickExam, QuickSave, QuickPreset y EzExam+ para iniciar estudios con rapidez, guardar imágenes en USB y reducir pasos repetitivos.
Diseño reforzado para traslado
La carcasa de magnesio y la estructura interna tipo panal incrementan la rigidez del sistema y mejoran su resistencia en uso móvil frecuente.
Ecosistema MedRent
Dentro del catálogo MedRent se complementa con HS40, MyLab X1 y MyLab Omega eXP para ampliar cobertura diagnóstica y comparativa entre plataformas compactas y portátiles.





